Δευτέρα έως Πέμπτη κατόπιν ραντεβού

Εξετάσεις εντός ιατρείου

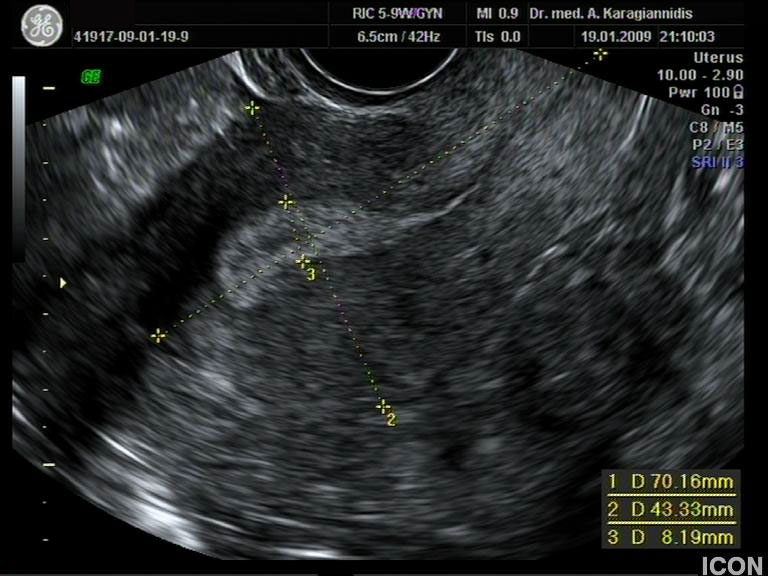
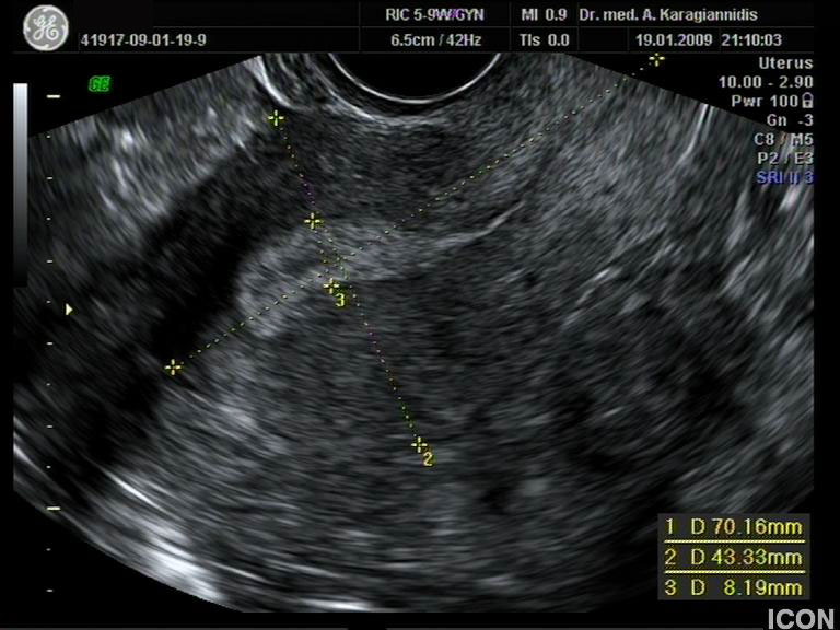
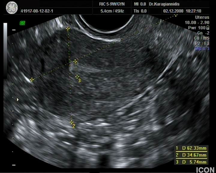
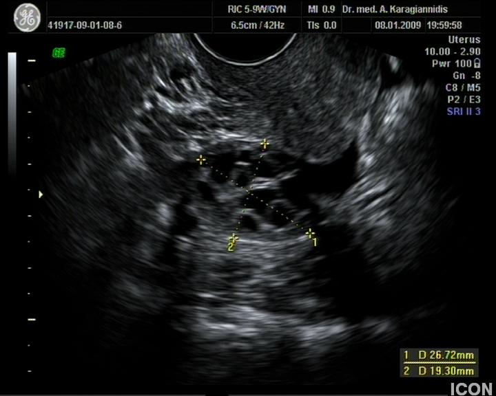
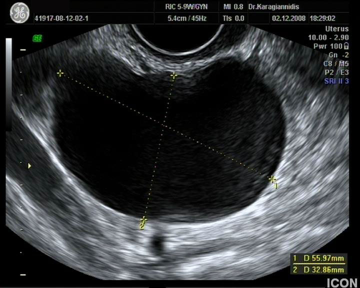
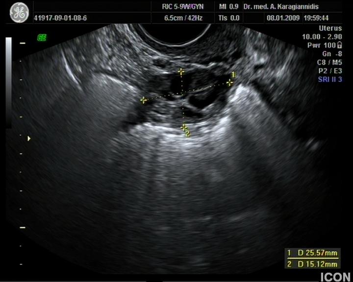
Ενδοκολπικός U/S έσω Γεννητικών Οργάνων

Εξετάσεις εντός ιατρείου

Γυναικολογική εξέταση & τεστ ΠΑΠ

Η κάθε υγιής γυναίκα θα πρέπει να επισκέπτεται το γυναικολόγο της τουλάχιστον 1 φορά το χρόνο για τη συνήθη γυναικολογικής εξέταση, test - PAP αλλά και το ετήσιο γυναικολογικό check-up.

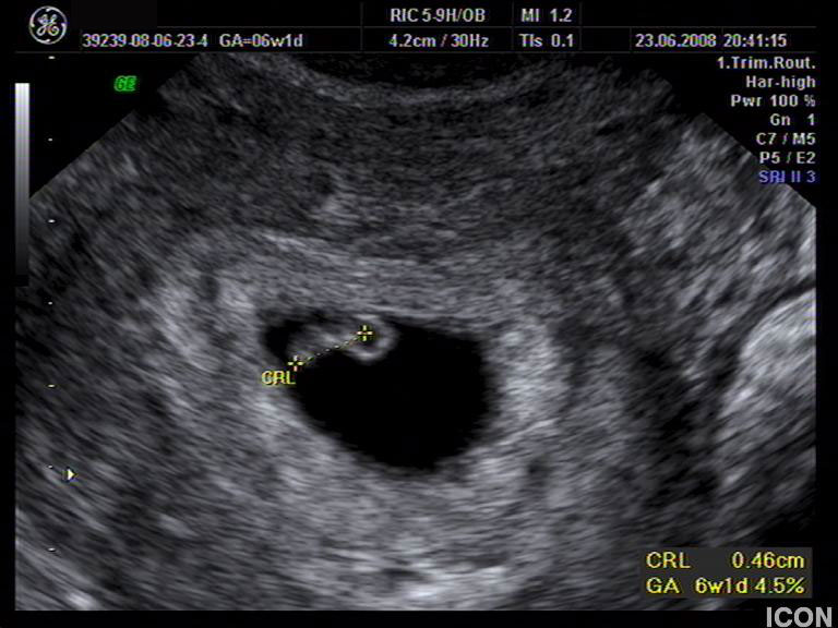
Αυχενική διαφάνεια

Η αυχενική διαφάνεια (ΑΔ) είναι η συλλογή υγρού στον τράχηλο του εμβρύου και συγκεκριμένα ανάμεσα στο δέρμα και στους ιστούς που καλύπτουν τη σπονδυλική στήλη.

Κολποσκόπηση

Η κολποσκόπηση είναι μια εξεδικευμένη εξέταση που αφορά τον τραχήλου της μήτρας και πραγματοποιείται με τη βοήθεια ενός ειδικού οργάνου του κολποσκοπίου.

Μαστολογική εξέταση

Υπέρηχος μαστών

Καρδιοτοκογράφημα

Η καρδιοτοκογραφία (non-stress test) αποτελεί την πλέον σύγχρονη μέθοδο καταγραφής εμβρυικού καρδιακού ρυθμού καθώς και της δραστηριότητας του μυομητρίου.

Προγραμμάτιστε το ραντεβού σας

Καλέστε μας στο 210 8941515 για να προγραμματίσετε τον γυναικολογικό σας έλεγχο.